頭部外傷及腦血管外傷處置

Chang Gung Memorial Hospital 基隆長庚醫院
腦神經外科 傅冠豪

Traumatic Brain injury (TBI) 定義

  • 外部機械力對大腦傷害,可能導致認知、身體和社會心理功能的永久性或暫時性損害,並伴有意識狀態的減弱或改變
  • 通常術語腦損傷(TBI)與頭部損傷(Head Injury)同義, 但後者可能與神經功能缺損無關
  • American Association of Neurological surgeons

TBI - 流行病學

美國統計數據

  • 年發生率: 140 萬人次
  • 死亡人數: 52,000 人/年
  • 死亡率:
    • 院外死亡 17/100,000
    • 住院後死亡 6/100,000
  • 高風險族群: 男性, 15-24 歲 (占 50%)
  • 受傷機轉
    • 車禍: 50% (1997 年為 70%)
    • 跌倒: 20-30% (在 >75 歲族群中增加)
    • 兒童 (0-4 歲): 通常為兒童虐待所致

台灣統計數據

  • 發生率: 100-300/100,000 (2018~2023 年約 52,000 人/年)
  • 職業相關 TBI: 45-50%

參考文獻: Nguyen, Rita, Kirsten M. Fiest, Jane McChesney, et al. 2016. “The International Incidence of Traumatic Brain Injury: A Systematic Review and Meta-Analysis.” Canadian Journal of Neurological Sciences / Journal Canadien Des Sciences Neurologiques 43 (6): 774–85. https://doi.org/10.1017/cjn.2016.290.

109年

頭部外傷分類

格拉斯哥昏迷量表Glasgow Coma Scale (GCS)

  • E (eye opening): 1-4
  • V (verbal response): 1-5
  • M (motor response): 1-6

嚴重度分級

  • 嚴重頭部外傷 : GCS score 3-8 分
  • 中度頭部外傷 : GCS score 9-12 分
  • 輕度頭部外傷 : GCS score 13-15 分

image

常見頭部外傷

主要傷害類型

腦部受傷後,可能出現:

  • 顱內血腫 (Intracerebral hematoma)
  • 腦挫傷 (Cerebral contusions)

常見出血類型

  • 硬腦膜上出血 (Extradural haemorrhage, EDH)
  • 硬腦膜下出血 (Subdural haemorrhage, SDH)
  • 蛛網膜下腔出血 (Subarachnoid haemorrhage, SAH)

常見頭部外傷2

腦組織損傷

腦挫傷 (Cerebral contusion) 可能造成:

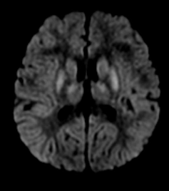
  • 瀰漫性軸索損傷 (Diffuse axonal injury, DAI)

    • 突然的加速、減速或旋轉力量導致腦組織剪切傷
    • 造成許多小血管微出血
    • 進一步導致腦皮質實質組織瘀傷
  • 缺氧性腦病變 (Hypoxic Encephalopathy)

⚠️ 危急警示

需密切注意是否造成危及生命的腦脫疝 (Brain herniation)

腦挫傷 - DAI

腦挫傷 - Hypoxic Encephalopathy

腦脫疝 (Brain herniation)

image

顱內血腫 (Intracerebral hematoma)

  • 也可能是亞急性或延遲性

硬腦膜上出血 (Extradural haemorrhage, EDH)

硬腦膜上出血 (Extradural haemorrhage, EDH)

臨床表現

  • 噁心和嘔吐
  • 意識改變
  • 同側瞳孔擴張
  • 清醒間隔 (Lucid interval)
    • 僅 15-20% 患者出現典型的清醒間隔後昏迷復發
    • 50% 患者並無初始意識喪失 (Initial loss of consciousness)

解剖與病因

  • 最常見部位: 顳外側區域 (Lateral temporal)
  • 血管來源: 中腦膜動脈 (Middle meningeal artery) 撕裂

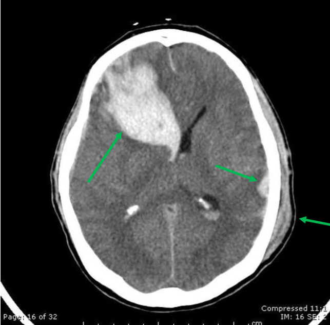
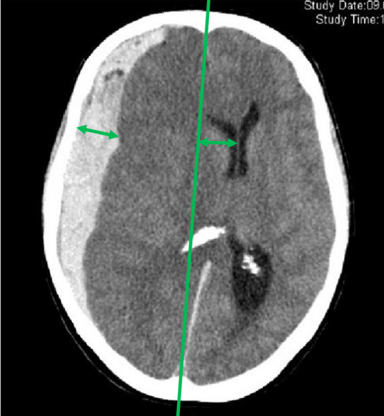
急性硬腦膜下出血 (Acute SDH)

急性硬腦膜下出血 (Acute SDH)

病理機轉

  • 可以以最小的頭部創傷(加速-減速損傷)破壞引流靜脈
  • 好發於腦萎縮的老年人

急性硬腦膜下出血 (Acute SDH)

預後因素

1. 年齡

  • < 40 歲: 死亡率 20%
  • > 80 歲: 死亡率 88%

2. 時間因素

  • 從受傷到治療的時間

3. 影像學指標

  • SDH 厚度 > 1 cm中線移位 > 0.5 cm
  • ➜ 應盡快進行手術

image

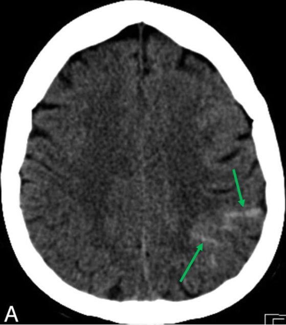
蛛網膜下腔出血 (SAH)

image

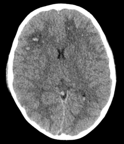
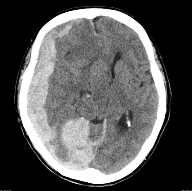
腦實質出血 (Intraparenchymal hemorrhage)

image

Traumatic brain injury in real world

image

image

image

image

Other associated injury

image

image

image

頭部外傷處置原則

image

Muscle Power Grading

image

2016/2017年,美國神經外科醫學會及腦外傷基金會對嚴重頭部外傷新的實證醫學證據及治療指引

image

image

Intracranial pressure monitoring

  • Level IIB
  • Management of severe TBI patients using information from ICP monitoring is recommended to reduce in-hospital and 2-week post-injury mortality.

3rd Edition

  • In all salvageable patients with a TBI (GCS 3–8 after resuscitation) and an abnormal CT scan.
  • In severe TBI with normal CT scan if age > 40 years, unilateral or bilateral motor posturing, or SBP < 90 mm Hg.

image

Cerebral perfusion pressure monitoring

  • Level IIB
  • Management of severe TBI patients using guidelines-based recommendations for CPP monitoring is recommended to decrease 2-wk mortality.

Advanced cerebral monitoring

  • Level III

  • Jugular bulb monitoring of AVDO2, as a source of information for management decisions, may be considered to reduce mortality and improve outcomes at 3 and 6 mo post-injury.

  • Level III

  • Jugular venous saturation of <50% may be a threshold to avoid in order to reduce mortality and improve outcomes.

Blood pressure thresholds

  • Level III

  • SBP ≥ 100 mm Hg for patients 50 to 69 years old

  • SBP ≥ 110 mm Hg or above for patients 15 to 49 or >70 years old may be considered to decrease mortality and improve outcomes.

  • Choice of medication for BP control

    • B-blocker > CCB!!!

Cerebral perfusion pressure thresholds

  • Level IIB

    • The recommended target CPP value for survival and favorable outcomes is between 60 and 70 mm Hg.
  • Level III

    • Avoiding aggressive attempts to maintain CPP > 70 mm Hg with fluids and pressors may be considered because of the risk of adult respiratory failure → ARDS.

Brain Trauma Foundation

Hyperosmolar therapy

  • Lower ICP
  • Insufficient evidence about effects on clinical outcomes to support a specific recommendation for severe traumatic brain injury
  • Control ICP < 25 mmHg
  • D-mannitol or hypertonic N/S (> 3%)

Mannitol

  • 0.25g/kg to 1g/kg (0.2g/ml, 4:5) (60 kg, 75-300ml)
  • Hold if SBP < 90mmHg / MAP < 90mmHg
  • Restricted use in patients with signs of trans-tentorial herniation

Cerebrospinal fluid drainage

Level III

  • An EVD system zeroed at the midbrain with continuous drainage of CSF may be considered to lower ICP burden more effectively than intermittent use.
  • Use of CSF drainage to lower ICP in patients with an initial GCS 6 during the first 12 h after injury may be considered.

Ventilation therapies

  • Hyperventilation PaCO2 < 25mmHg is not recommended
  • Temporizing measure for reducing ICP
  • Avoid first 24Hrs after injury when CBF is critically reduced
  • Need combine with SjO2 or BtpO2

Anesthetics, analgesics, and sedatives

  • Not recommended to induce burst suppression of ICP
  • High dose barbiturate for control medically/surgically refractory ICP is recommended
  • No improvement of outcome

Although propofol is recommended for the control of ICP, it is not recommended for improvement in mortality or 6-month outcomes.

Prophylactic hypothermia

Level IIB

  • Early (within 2.5 h), short-term (48 h post-injury), prophylactic hypothermia is not recommended to improve outcomes in patients with diffuse injury.

Steroids

Level I

  • The use of steroids is NOT recommended.
  • High dose methylprednisolone is contraindicated

Refractory IICP : ICP > 22mmHg > 20 mins

2016 - 4th edition

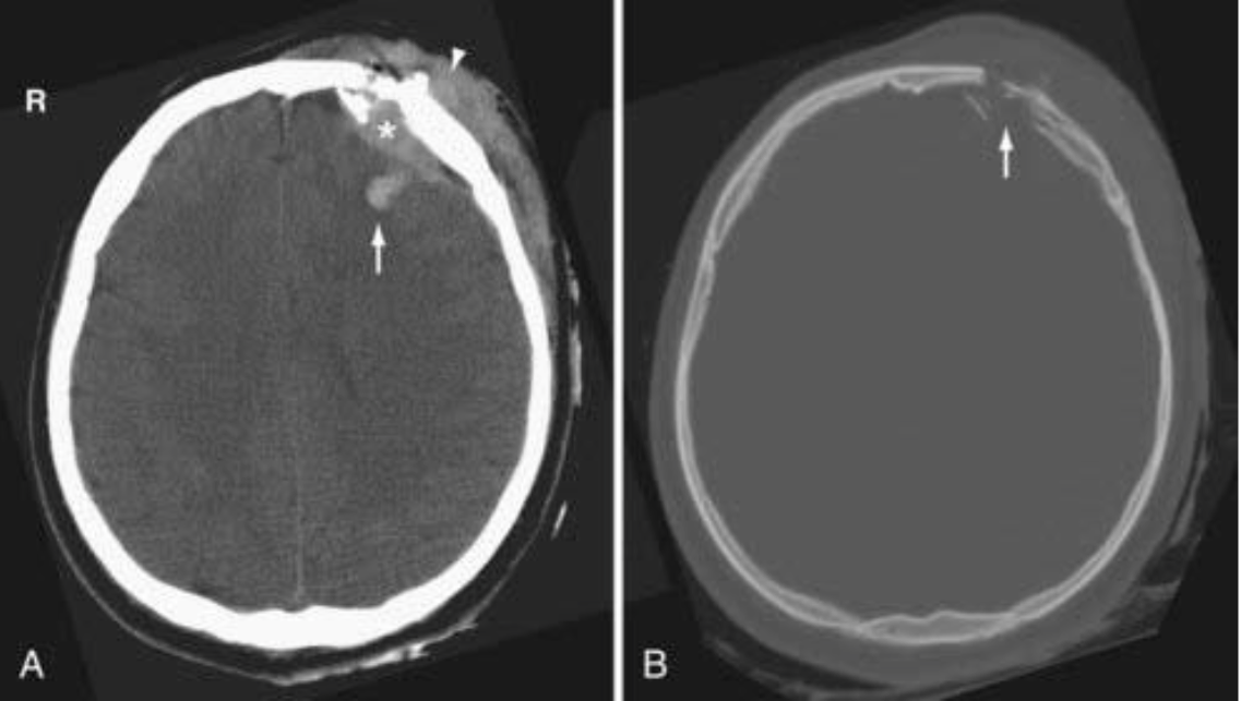
Decompressive Craniectomy

Level IIA

  • Bifrontal DC is not recommended
  • A large frontotemporoparietal DC (not less than 12 x 15 cm or 15 cm diameter) is recommended over a smaller one.
  • RESCUEicp: DC lower mortality and higher rates of vegetative state, and severe disability than medical care.

image

Decompressive Craniectomy

2020 – updated edition

Level IIA–to improve mortality and overall outcomes :

  1. Secondary DC performed for late refractory IICP is recommended to improve mortality and favorable outcomes
  2. Secondary DC performed for early refractory IICP is NOT recommended to improve mortality and favorable outcomes
  3. Large craniectomy size, as 4th edition
  4. Secondary DC, performed as a treatment for either early or late refractory IICP, is suggested to reduce ICP and duration of intensive care, though the relationship between these effects and favorable outcome is uncertain.

Decompressive Craniectomy

2020 – updated edition

Study design :

  1. Late refractory IICP (RESCUEicp trial): >25 mmHg for 1~12 hrs, refractory to 2 tiers of treatment within 10 days of admission
  2. Early refractory IICP (DECRA trial): >20 mmHg for 15 mins over a 1-h period, despite of tier 1 treatments within the first 72 hrs

Nutrition

  • Transgastric Jejunal Feeding is recommended to reduce ventilator associated pneumonia

Infection prophylaxis

  • Early tracheostomy for reduce intubation day
  • Not associated with mortality or pneumonia rate
  • Antimicrobial-impregnated catheters to reduced catheter-related infection during EVD

Deep vein thrombosis prophylaxis

  • Low molecular weight heparin
  • Low-dose unfractionated heparin
  • Increased risk for expansion of intracranial hemorrhage

亞洲人少見

Seizure prophylaxis

Level IIA

  • Prophylactic use of phenytoin or valproate is not recommended for preventing late PTS
  • Phenytoin is recommended to decrease the incidence of early PTS(< 1 week)
  • Insufficient evidence to recommend levetiracetam compared with phenytoin

Depakine, Keppra, slightly less effective than phenytoin (Dilantin). But also much less side effects than Dilantin
Keppra, Briviac: 肝病或肝功能異常首選, 亦無腎毒性, 最少藥物交互作用

Post-traumatic seizures:

  • Impact seizures: within 24 hours
  • Early seizures: within 1 week
  • Late seizures: more than 8 days

Post-traumatic epilepsy(PTE):

  • 1 unprovoked seizure and high likelihood of another after 1 week of the trauma

Discontinue AED if no PTS in 1 week

Timing of Early PTS

  • 1/3 within first hour
  • 1/3 between 1–24 hours
  • 1/3 between 1–7 days after injury

Timing of Late PTS

  • 18% in first month
  • 57% in first year

Risk factors

  • Glasgow Coma Scale (GCS) score of ≤10
  • Immediate seizures
  • Post-traumatic amnesia lasting longer than 30 minutes
  • Linear or depressed skull fracture
  • Penetrating head injury
  • Subdural, epidural, or intracerebral hematoma
  • Cortical contusion
  • Age ≤65 years
  • Chronic alcoholism

創傷後癲癇的病理機轉

全身性變化

  • 發炎標記物增加 (Increased inflammatory markers)
  • 血腦障壁改變 (Altered blood-brain barrier)
  • 星狀細胞變化 (Changes in astrocytes)
  • 葡萄糖代謝失調 (Glucose metabolism dysregulation)

組織病理變化

  • 反應性膠質增生 (Reactive gliosis)
  • 軸突回縮球 (Axon retraction balls)
  • 華勒氏變性 (Wallerian degeneration)
  • 微膠質疤痕形成 (Microglial scar formation)
  • 囊性白質病變 (Cystic white matter lesions)

創傷後癲癇的病理機轉 - 分子機制

致癲癇活性的病理生理學路徑

  1. 初始損傷: 腦挫傷或皮質撕裂傷 (Contusion or cortical laceration)
  2. 血紅素分解 → 釋放鐵離子 (Hemoglobin breakdown releases iron)
  3. 鈣離子震盪增加 (Increased intracellular calcium oscillation)
  4. 花生四烯酸級聯反應活化 (Activation of arachidonic acid cascade)
    → 自由基形成增加 (Free radical formation)
  5. 興奮性毒性損傷 (Excitotoxic damage)
    → 神經元死亡 (Neuronal death)
  6. 膠質疤痕形成 (Glial scarring)
  7. 癲癇樣活性 (Epileptiform activity)

腦血管外傷 (Blunt Cerebrovascular Injury, BCVI)

腦血管外傷 (Blunt Cerebrovascular Injury, BCVI)

流行病學與預後

  • 發生率: 除穿透性頸部創傷外,約 1% 的鈍性創傷與腦血管損傷有關
  • 預後不良: 診斷治療後
    • 神經疾病後遺症: 40-80%
    • 死亡率: 5-40%

臨床表現與篩檢重要性

  • 早期症狀: 初期可能只有輕微或無神經學症狀
  • 篩檢價值: 主動篩檢是避免遺漏此損傷、預防致命性中風並改善預後的重要工具

腦血管外傷 - 診斷與特徵

診斷檢查

  • 首選檢查: Conventional Angiography(傳統血管攝影)
  • 常用替代: 非侵入性 MRA 或 CTA 更容易取得

典型損傷位置

  • ICA (Internal Carotid Artery): 遠端段,顱底入口下方
  • VA (Vertebral Artery): 頸椎段 V1-V3
  • 受傷頻率: ICA 比 VA 更常受傷
  • 雙側損傷: 少見;四條血管同時鈍性損傷極為罕見

Screening high risk patient at ER

image

BCVI grading system

image

腦血管外傷 - 處置原則

治療時機與建議

  • 早期血管重建: 建議及早進行 (Early vessel reconstruction is recommended)
  • 高風險時期: 前 30 天內中風發生率較高
  • 血栓栓塞併發症: 因持續性狹窄或未癒合之剝離及動脈瘤破裂風險增加 (4-32 天)

治療目標

完全閉塞動脈瘤並保留母血管 (Complete aneurysm occlusion with parent artery preservation) - 越早越好

BCVI 處置 - 依分級治療策略

Grade I-II (輕度損傷)

目前建議

  • 抗血栓治療 (Antithrombotic therapy)

治療成效 (Ann Surg 2002;235(5):699-706)

  • 單純觀察組: 63% 痊癒
  • Heparin 治療組: 70% 痊癒
  • Heparin vs. 抗血小板藥物: 預後無顯著差異
  • 不再建議: 單純觀察
  • 出血率低: 4%,耐受性良好

BCVI 處置 - 依分級治療策略

Grade III 或更高 (中重度損傷)

治療方式

  • 血管內治療 (Endovascular surgery)
    • Coils (線圈栓塞)
    • Stent-assisted coiling (支架輔助線圈栓塞)

特殊考量

  • 較大 TICA (創傷性顱內頸動脈瘤): 需完全閉塞
    • 原因: 破裂風險高
    • 破裂死亡率: 50%

BCVI 處置 - 開放手術適應症

Grade IV-V 病灶

血管內治療技術困難或不適合的情況

  • 解剖結構限制
    • 進入動脈過窄
    • 無法直接進入 CCF (頸動脈海綿竇廔管)
    • 寬頸海綿竇段頸動脈瘤

需進行 EC-IC Bypass 的情況

  • 球囊閉塞測試不耐受
  • 雙側頸動脈損傷
  • 必須進行顯微手術 EC-IC bypass (顱外-顱內血管繞道)

Take Home Message

  1. 頭部外傷評估: GCS 分級與 CT 影像是決定處置的關鍵,早期辨識高危險群

  2. 顱內壓監測與治療: ICP >20 mmHg 需積極處理,Hyperosmolar therapy 為一線治療

  3. 手術時機: EDH、Acute SDH 符合手術指標應盡早手術,避免延遲造成不可逆傷害

  4. 創傷後癲癇: 高危險群需預防性治療,了解病理機轉有助於長期管理

  5. 腦血管外傷: 主動篩檢 BCVI,早期診斷治療可大幅改善預後

謝謝聆聽

Thanks for Listening